Special thanks to Mr. Ahmet Erkut, the President of the Speech Therapy Association of Turkey, for inviting Mr. Yoon Wai Lam from Singapore Swallowing Specialists to present at the second Zoom workshop (23 & 30 June 2024) on “VFS & FEES Interpretation and Treatment Planning” to the Speech Therapy Association of Turkey. The workshop was attended by more than 140 enthusiastic speech therapists, resulting in lots of great questions and discussions.
We look forward to more future collaboration.
The following are some of the slides from the FEES Workshop:
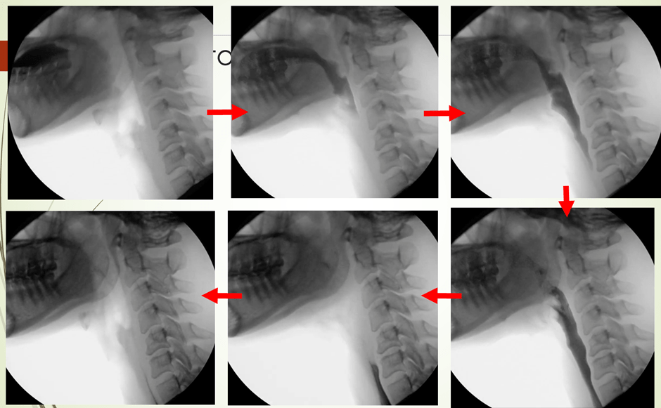
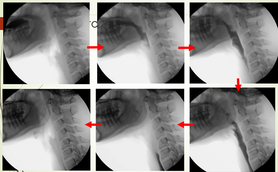
FEES view at the Oropharynx and Laryngopharyx FEES: Anatomy of the pharynx and larynx (Superior View)FEES: Interesting case study on the “Rising Tide” presentation
The following are some of the slides from the VFS workshop:
VFS: AnatomyVFS: The normal swallowing sequenceVFS: Case Study on the “Tennis Player” A chronic severe dysphagia client was successfully treated with therapy using sEMG biofeedback. This client managed to resume a regular diet and thin fluids and had his PEG tube removed.
Nestle Singapore will be organizing Nestle Health Science Gerontology Symposium 2021: Advances in Solutions to Age-Old Challenges in Aged Care.
Speech Therapy Works | Singapore Swallowing Specialists is honored to be invited to present in this symposium. Topic of our presentation is ‘Dysphagia Management for the Elderly‘.
The FREE online webinar for this symposium is open to all from any countries.
Date: 26 February 2021
Time: 7.00pm – 9.30pm (Singapore time)
Registration closing date: 23 February 2021
To register, click on the following link or scan the QR code:
Youtube Video on CTAR in MandarinGDM would like to thank Mr Eng Tze Hao (Speech Therapist from Singapore) for his help in translation and presentation of the Mandarin Version of the CTAR video.
The following Mandarin CTAR video and blog post are initiative of the Global Dysphagia Movement (GDM). 缩下巴抗阻运动能训练你的上舌骨肌群,以打开进食通道(上食道括约肌),让食物顺利的进入胃。
The Chin Tuck Against Resistance (CTAR) exercise works on strengthening the suprahyoid muscles, necessary for opening your upper food pipe sphincter (or known as the upper esophageal sphincter) to allow food to enter the stomach. 这个运动从袁伟琳先生于2013年创始后,就在国际间广为使用,我们希望这支影片可以提供更多执行运动的细节。我们计划将这只影片以及未来更多的影片翻成不同语言,提供世界各地使用。
Since CTAR was introduced in 2013, Mr Yoon (The CTAR inventor) has been receiving enquiries from clinicians from around the world. We hope that this video will provide the details to facilitate the carrying out of the exercise. There are plans to translate this video into different languages, so as to allow different people around the world to gain an understanding about the exercise and its proper usage. 如果你喜欢这个影片,请不吝按赞,同时记得分享及订阅我们的频道,以收看更多关于CTAR和吞咽的影片。 想知道更多吞咽困难处置的有用资讯和方法,请追踪我们的部落格https://dysphagia.sg/news-and-updates/
Please LIKE , SHARE and SUBSCRIBE to our channel for more upcoming CTAR series and swallowing exercises tips in different languages. Follow us at our blog at https://dysphagia.sg/news-and-updates/ for more useful informations and tips on dysphagia management. 下载CTAR运动指导的PDF,请点击下方的连结: (To download a PDF copy of the CTAR exercise instructions):
I am honoured to be invited to speak at this upcoming Laryngology Webinar alongside with the Legendary Dysphagia Guru, Professor Susan Langmore and all other renowned dysphagia experts.
The topic that I will be covering: “Clinical Application of sEMG in Dysphagia & Understanding Chin Tuck Against Resistance / CTAR”.
GDM would like to thank Ms Sandy Lim (SLP from USA) for her help in translation and presentation of the Korean Version of the CTAR video.
This Korean translated CTAR video and blog post are initiative of the Global Dysphagia Movement (GDM).
The Chin Tuck Againt Resistance (CTAR) exercise works on strengthening the suprahyoid muscles, necessary for opening your upper food pipe sphincter (or known as the upper esophageal sphincter) to allow food to enter the stomach.
저항성 턱 당기기 운동은 목뿔의근을 강화시켜 상부 식도 괄약근을 열어 음식이 위장에 들어갈수있게 해줍니다.
Since CTAR was introduced in 2013, Mr Yoon (The CTAR inventor) has been receiving enquiries from clinicians from around the world. We hope that this video will provide the details to facilitate the carrying out of the exercise. We plan to translate this and all our upcoming videos into different languages.
2013년 저항성 턱 당기기 운동이 소개 된 이후 운동 발명가 윤선생님께서는 전 세계에서 문의를 받고 있습니다. 이 동영상이 연습수행을 용이하게 하는데에 도움이 되길를 바랍니다. 이 동영상과 앞으로 나올 모든영상들은 여러 언어로 번역될 예정입니다.
The following is the CTAR exercise instructions. You may download a PDF copy of this instructions at the bottom of this page.
다음은 저항성 턱 당기기 운동 지침입니다. 이 페이지 하단에서 이 지침의 PDF사본을 다운로드 할 수 있습니다.
For clinicians, you may download the above QR code and print it on your exercise handouts to facilitate clients’ search for the above YouTube Video.
치료사일 경우, 위 QR 코드를 다운로드 받은 후 유인물에 인쇄하면 환자가 위의 YouTube 동영상을 쉽게 검색 할수있습니다.
저항성 턱 당기기 고무공 사용법
목적: 삼키는데 사용되는 목뿔위근육을 강화시키기 위함. 상부 식도 괄약근을 열어 음식이 위장에 들어갈수 있도록 하려면 목뿔위근이 중요하다.
준비물: 1. 고무공 2. 공기 펌프, 공 펌프 니들 밸브 (추가 필요물) – 공의 직경과 압력을 높이기 위해
This training course pairs the principles of electrophysiology with traditional swallowing exercises in order to re-educate laryngeal muscles in patients with swallowing problems or difficulties. The course provides an overview of patient selection, a rationale for Neuromuscular Electrical Stimulation (NMES) parameter settings, and electrode placement.
Course Learning Outcomes: Upon successful completion of the training course, clinicians will be able to: • Explain Neuromuscular Electrical Stimulation (NMES) • Describe the properties of electrical stimulation and its impact on muscle tissue • Describe the patient selection criteria for which NMES is indicated for the treatment of dysphagia • Identify the characteristics of NMES • Discuss the properties of Electrodes • Discuss and demonstrate the application of therapeutic protocol in the treatment of dysphagia • Describe and justify why there is a continued need for traditional swallowing exercises in conjunction with the therapeutic protocol • Explain why adjusting the electrical parameters of the Biber Protocol is so important • Demonstrate effective communication skills in patient education and allied health professionals regarding the candidacy and use of NMES for the treatment of dysphagia
Download the application form to find out more on the course:
Speech Therapy Works | Singapore Swallowing Specialists have been invited to participate in this upcoming Facebook Live Talk Show organized by the Society of Speech & Language Therapists, Bangladesh.
This is also a Global Dysphagia Movement initiative to create better dysphagia awareness to international community.
#SSLT
All are welcome to watch the 9th episode of our SSLT TALK SHOW ‘Provision of Dysphagia Services Between Developed and Developing Country’ program.
Program Time (Event Time):
Bangladesh Time:
September 18, 2020 (Friday 8 pm).
Singapore Time:
18th September, 2020 (Friday, 10:00pm)
You can watch the FB Live talk show via this link:
GDM would like to express our heartfelt thanks to the Taiwanese SLP team for their help in translation and presentation of the Taiwanese Minnan Version of the CTAR video.
This Taiwanese Minnan translated CTAR video and blog post are initiative of the Global Dysphagia Movement (GDM).
縮下巴阻抗運動能訓練你的上舌骨肌群,以打開進食通道(上食道括約肌),讓食物順利的進入胃。
The Chin Tuck Againt Resistance (CTAR) exercise works on strengthening the suprahyoid muscles, necessary for opening your upper food pipe sphincter (or known as the upper esophageal sphincter) to allow food to enter the stomach.
Since CTAR was introduced in 2013, Mr Yoon (The CTAR inventor) has been receiving enquiries from clinicians from around the world. We hope that this video will provide the details to facilitate the carrying out of the exercise.
Please LIKE , SHARE and SUBSCRIBE to our channel for more upcoming CTAR series and swallowing exercises tips in different languages. Follow us at our blog at https://dysphagia.sg/news-and-updates/ for more useful informations and tips on dysphagia management.
下載CTAR運動指導的PDF,請點擊下方的連結: (To download a PDF copy of the CTAR exercise instructions):
YouTube Video on Japanese CTAR with Rubber BallGDM would like to express our heartfelt thanks to Dr Kotomi Sakai for her help in translation and presentation of the Japanese Version of the CTAR video.
This Japanese translated CTAR video and blog post are initiative of the Global Dysphagia Movement (GDM).
The following is the CTAR exercise instructions. You may download a PDF copy of this instructions at the bottom of this page.
下記にCTARの運動方法が記載してあります。このページの下でそのPDFがダウンロードできます。
Chin Tuck Against Resistance (CTAR) with a Rubber Ball
Purpose: To strengthen the suprahyoid muscles used in swallowing. The suprahyoid muscles are important to open your upper food pipe sphincter (upper esophageal sphincter) to allow food to enter your stomach.